قناة الكوثر الفضائية
البث المباشر
  • الرئيسية
  • الأخبار
  • البرامج
  • فلسطين
  • الكوثر +
  • فارسی
  • البث المباشر
  • بحث
  • فارسی

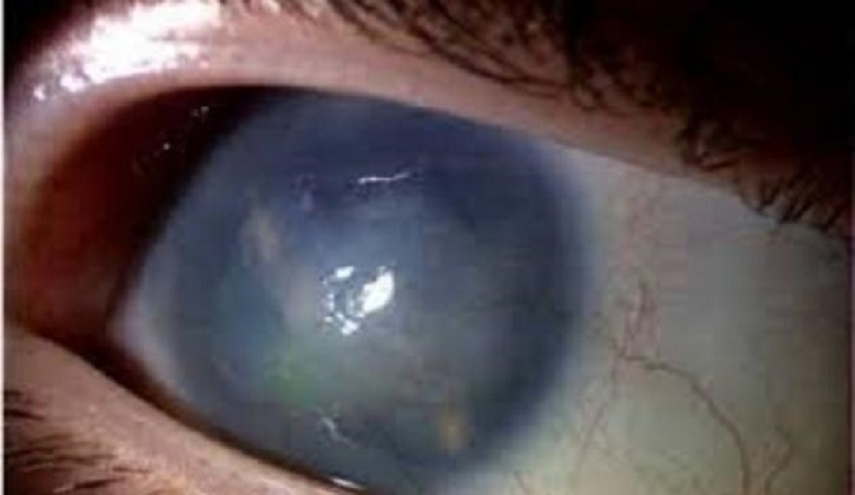
المياه الزرقاء في العين

يسمى ارتفاع ضغط الدم في العين بالمياه الزرقاء فارتفاع ضغط الدم يؤدي لأضرار في العصب البصري.

  • لم يهب الله عضو للإنسان مرتين سوى الأسنان والتي تظهر للمرة الأولى كأسنان لبنية ثم تسقط ويخرج مكانها أسناننا العادية ولكن تفريش الأسنان كل يوم غير كافي للمحافظة عليها ولكن هناك طرق أخرى يجب إتباعها.
    سلامة الأسنان... وطرق المحافظة عليها
  • أن أمراض القلب والشرايين هي من أكثر أسباب الوفيات وأكثر حالاتها شيوعا وفتكا بين أفراد مجتمعنا هي الجلطة القلبية التي تنتج عن الإنسداد لأحد الشرايين.
    أعراض السكتة القلبية وأسبابها...
  • آلام الظهر ويكون أول هذه الآلام نتيجة الضغط لميكانيكي وينقسم إلى ثلاثة أقسام فتق القرص القطني أو ضيق في النفق النخاعي أو انزلاق في الفقرات أو عرق النساء.
    أسباب فتق القرص القطني وعرق النساء
  • هناك ثمانية أنواع من آلام لظهر تقريبا ومن أكثرها انتشار بين الشباب ألم قرص الظهر الناتج عن الجلوس والحركة الخاطئة أثناء العمل والقيام بالنشاط اليومي.
    آلام الظهر... الأنواعه والأسباب
  • يعتبر الشخير عند عامة الناس علامة للنائم واستغراقه في النوم أي عندما يبدأ النائم بالشخير نقول أنه مستغرق في النوم لأنه عندما يستيقظ ينقطع الشخير ولكن من الممكن أن يكون الشخير دليل على الإصابة بمرض خطير.
    الشخير مؤشر على الإصابة بهذا المرض الخطير
  • هناك نوع معين من الأشخاص الذين يصابون بالشخير وهم المصابين بالبدانة ولاسيما الأشخاص التي تكون عندهم منطقة العنق قصيرة وغليظة وهي تنتشر بين الرجال أكثر من النساء.
    من هم الأكثر عرضة للشخير؟... أسباب الشخير وطرق علاجه
  • مرض الإنفلونزا له خصوصيته التي تميزه عن سائر الأمراض الفيروسية وينتشر في فصل الشتاء والخريف لاسيما بعد بدء العام الدراسي حيث الطلاب والتلاميذ في المدارس مما يساعد على انتشار العدوى.
    أنواع الإنفلونزا وأعراضها...
  • مرض الزكام الذي كثيرا ما يبتلى به الإنسان على مدار السنة ويسمى بنزلة برد أو نشلة يختلف عن الإنفلونزا وهي مرض فيروسي خاص.
    أعراض الإنفلونزا... وكيف تختلف عن الزكام؟
  • ينقسم التسمم الغذائي إلى نوعين أساسيين وهو يحدث جراء تناول الأطعمة غير الصحية وهو يحدث تلوث الأغذية بأنواع الجراثيم.
    أنواع التسمم الغذائي
  • زيادة نسبة الدهون في الجسم ولاسيما الكوليسترول وتنتشر هذه الأيام زيوت بها كوليسترول وزيوت أخرى خالية من الكوليسترول.
    زيادة نسبة الدهون في الجسم وطرق العلاج...
  • يتساءل العديد لم لا نستطيع السيطرة على مرض ضغط الدم وذلك لأن الأدوية فقط لا تكفي ولكن يجب أن نتبع النصائح والتعليمات التي يوجهها لنا الطبيب لنتمكن من السيطرة عليه.
    طرق السيطرة على ضغط الدم
  • من أنواع الصداع والتي لم يسمع بها الكثيرين هو صداع العنقود وذلك لأنه قليل الإنتشار ومتناوب أي يظهر في فترات وعلى مدار شهور.
    الصداع العنقودي وأسبابه...
  • هناك أنواع من الإصابات الدماغية في القرون الماضية ومازالت من أهم أسباب حالات الوفاة في العالم ولاسيما بين الشباب.
    إصابات دماغية تؤدي للوفاة
  • العمود الفقري له أهمية بالغة لأنه يحيط بالنخاع الشوكي فجميع الأوتار التي تتفرع من الدماغ فإنها تتصل بجهاز النخاع الشوكي.
    إصابات العمود الفقري
  • الجلطة الدماغية هو عدم وصول الدم لأي عضو من أعضاء الإنسان يطلق عليه السكتة في عالم الطب.
    أسباب الجلطة الدماغية ... وما هي أنواعها؟
  • السكتة الدماغية هي تأذ عصبي فجائي حاد يحدث عندما يتوقف جريان الدم وتغذيته في منطقة من مناطق الدماغ نتيجة جلطة أو خثرة دموية.
    ما هي السكتة الدماغية وأعراضها؟
  • آلام الظهر من أكثر الأمراض شيوعا بين الناس وهناك ما يقارب 80% من الناس يصابون بآلام الظهر مرة واحدة في حياتهم على الأقل وهنا سنبين سبل الوقاية من آلام الظهر.
    طرق الوقاية من آلام الظهر
  • الدراسات أثبتت أن هناك ثلاثة مكونة أساسية للنظام الغذائي السليم الذي من شأنه أن يأنى بالإنسان من الإبتلاء بأمراض القلب والشرايين وحتى من السرطان.
    أطعمة تحمي من أمراض القلب والشرايين
  • آلام البطن الحادة تبدأ بشكل مفاجئ لدى الأطفال وربما كانت خطيرة إذا ما كانت في حالة تزايد وتصاعد وقد تحتاج لعملية جراحية.
    أعراض آلام البطن الحادة لدى الأطفال... وأنواعها
  • الرئة من الأعضاء التي لا يمكن للإنسان الإستغنهاء عنها لإستمرار الحياة والتي يتم من خلالها نقل الهواء إلى مجرى الدم معرضة للأورام السرطانية بسبب العوامل المحيطة بها.
    أسباب سرطان الرئة...
  • أثبتت الأبحاث المرضية أن الترسبات الدهنية في الشرايين ربما تحدث للإنسان في سن الأربع أو الخمس سنوات فعدم الإكتراث بنسبة الدهون في وجبات الأطفال قد يعرضهم لمضاعفات خطيرة.
    أعراض سوء التغذية وأسبابها..
  • يجب أن نعرف الوزن الطبيعي للجسم وما هو مستوى النحافة؟، هناك نوعان من البدانة وهما البدانة التي تكون على هيئة التفاحة والبدانة التي تكون على هيئة الكمثرى.
    ما هو الوزن المثالي للجسم الصحي؟
  • لابد أن نتعامل مع النظارة على أساس أنها جزء مهم من منظرنا فيجب أن ندقق في اختيار النظارة التي نريد استعمالها أيضا وهل نشعر بالراحة عند استعمالها أم لا؟.
    كيف تختار النظارة المناسبة
  • إن احتقان الحلق والحنجرة المصحوب بحمى وارتفاع في مستوى حرارة الجسم عادة يكون سببه العدوى الذي يكون سببا لإحتقان الحلق والحنجرة.
    أسباب احتقان الحلق والحنجرة.. وأعراضه
  • الكلية عضو هام في الجسم وشكلها يشبه حبة الفاصولياء ولونها بني يميل للحمرة وهي المسئولة عن تنقية وتصفية الدم من السموم والعوادم.
    وظائف الكلى وأهمية الحفاظ عليها من الأمراض
  • مرض سكري الحوامل يكون عادة بدون أعراض ولكن يتوصل له الأطباء عن طريق القيام بالتحليلات اللازمة للمرأة الحامل
    أعراض مرض سكري الحمل وطرق علاجه
  • يوجد في الكريات الحمراء خلايا تدعى الهيموغلوبين وهي المسئولة عن نقص الأكسجين من الرئتين وتوزيعها على سائر جسم خلايا الإنسان
    ما هي الثلاسيميا... وتأثيرها على صحة الجنين؟
  • آلام الصدر من العلائم الأكثر شيوعا عند مرضى القلب ولكن ليس كل آلام االصدر دليلا على الإصابة بمرض قلبي وذلك لأن القفص الصدري يحتوي على أعضاء أخرى وربما كانت هي سبب هذا الألم.
    متى يكون ألم الصدر ناتج عن مرض القلب؟
  • أثبتت الأبحاث أن أكثر الإصابات بالجلطات الدماغية التي تفتك بالناس ويمكن أن تؤدي للوفاة يكون نتيجة ضغط الدم.
    ضغط الدم يسبب الجلطات الدماغية
  • سؤال دائم الطرح على الأطباء وهو ما حقيقة الأدوية والأحذية التي يمكن أن يستخدمها الإنسان ويصبح أطول ولكن هذه الإعلانات عارية من الصحة.
    حقيقة الإعلانات الدعائية عن زيادة الطول
  • أفضل سبل علاج لمشاكل ضغط الدم هو أن يجنب الإنسان نفسه الوقوع في هذا المرض ولكن إذا أصيب إنسان بهذا المرض فإن علاجه ينقسم لنوعين.
    أنواع علاج ضغط الدم
  • أكثر أمراض ألم الركبة شيوعا هو عدم القدرة على استخدام مفصل الركبة بحرية أي عدم القدرة على ثنيها أو فردها بشكل كامل.
    أعراض وأسباب ألم الركبة
  • ضرر التدخين على القلب أمر ثابت لا جدال فيه وهو السبب الرئيسي لأمراض القلب وأشهرها انسداد الشرايين الذي يمكن أن يؤدي للسكتة القلبية.
    أضرار التدخين على سلامة القلب
  • انسداد الصمام هو في الحقيقة ترهل الصمام واسترخائه والذي يؤدي للانسداد فعندما يترهل الصمام و يكون حجمه أكبر من قطر القلب.
    انسداد الصمام التاجي وأسبابه..
  • إذا كان الطفل يشعر في الصباح وقبل الذهاب إلى المدرسة بمغص أو ألم في البطن أو بالدوار فليس دائما يكون السبب عضوي فمن الممكن أن يكون سببا نفسي.
    خوف الأطفال من الذهاب للمدرسة
  • العقم قديما كان يطلق على تأخر الحمل لمدة عام وبدون وجود موانع للحمل ولكن هذا غير صحيح فهناك عدة حالات وأسباب للعقم.
    ما هو العقم وأسبابه؟
  • ينقسم علاج العقم إلى ثلاثة أقسام الأول ومنها العلاج الثانوي والذي يجب الحصول عليه في المراكز المتخصصة.
    علاج العقم... وأنواعه
  • يجب أن يسعى الأزواج الشباب إلى تنظيم عائلاتهم إذا كانوا يريدون الإنجاب في وقت معين وإذا كانوا يريدون منعه فيجب استشارة الطبيب لمعرفة الوسيلة المناسبة
    توصيات طبية للأزواج الجدد
  • الوقاية من قصور الكلى هو عن طريق علاج السكري الذي بتنظيمه ينتظم ضغط الدم عندها لن يصاب الشخص بمشاكل كليوية.
    قصور الكلى المزمن وطرق الوقاية
  • إرتجاع المرئ هو عودة محتويات المعدة إلى داخل المرئ، إن المرئ الذي يقوم بالوصل بين الفم والمعدة يضم في نهايته فتحة للسماح بدخول الطعام وعندما لا تعمل تلك الفتة بشكل جيد فتسمح للطعام بصعود للأعلى.
    أعراض ارتجاع المرئ... وأطعمة يجب تجنبها

هل تمّ تنفيذ جميع بنود المرحلة الأولى من اتفاق وقف إطلاق النار في غزة؟ | قضية ساخنة

  • الرئيسية
  • الأحدث
  • البرامج
  • فلسطين
  • الكوثر+
Telegram Instagram X (Twitter) Facebook
Nilesat 11900 V | Badr 8 11747 V | Badr5 12284 V
جميع الحقوق محفوظة
12/10/2025 2:50:39 PM