شاركوا هذا الخبر

الكشف عن ارتباط أمراض اللثة بارتفاع ضغط الدم

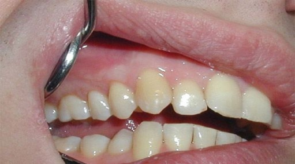
منوعات - الكوثر: يمكن أن يؤدي إهمال صحة الفم إلى أكثر من مجرد التسبب في رائحة الفم الكريهة ونزيف اللثة.

الكشف عن ارتباط أمراض اللثة بارتفاع ضغط الدم

وفي الواقع، ألقت دراسة جديدة الضوء على النتائج الصحية الخطيرة التي قد تترتب على ذلك بما في ذلك ارتفاع ضغط الدم.
ووجدت الدراسة أنه إذا كانت رائحة الفم كريهة ونزيف وتورم اللثة جزءا من حياتك، فقد تكون معرضا لخطر الإصابة بمضاعفات في القلب والأوعية الدموية.
وأجرى الباحثون من معهد إيستمان لطب الأسنان بجامعة كوليدج لندن مزيدا من الأبحاث حول الصلة بين أمراض اللثة واحتمال ارتفاع ضغط الدم.
وحقق الباحثون في بيانات 250 من البالغين الأصحاء الذين يعانون من أمراض اللثة الحادة وقارنوها بـ 250 شخصا لا يعانون من حالة الفم.
وفقا للنتائج، كان المصابون بأمراض اللثة أكثر عرضة للإصابة بضغط الدم الانقباضي'>ضغط الدم الانقباضي المرتفع، المعروف أيضا باسم ارتفاع ضغط الدم، بمرتين من أولئك الذين يملكون لثة صحية.
وقال مؤلف الدراسة فرانشيسكو ديوتو، أستاذ أمراض اللثة، في بيان: “يشير هذا الدليل إلى أن بكتيريا اللثة تسبب تلفا للثة وتؤدي أيضا إلى استجابات التهابية يمكن أن تؤثر على تطور أمراض جهازية بما في ذلك ارتفاع ضغط الدم”

أهم الأخبار

الأكثر مشاهدة