البث المباشر
الرئيسية
الأخبار
البرامج
فلسطين
الكوثر +
فارسی
البث المباشر
بحث
فارسی
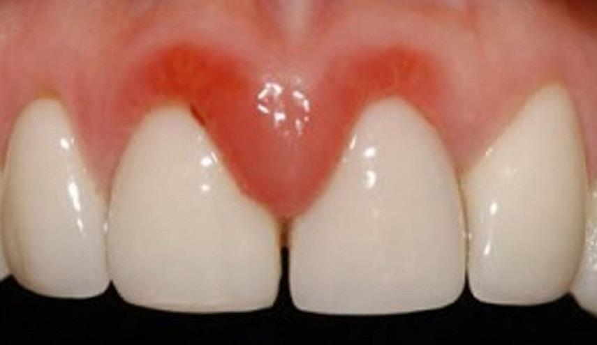
تورم اللثة
الكشف عن ارتباط أمراض اللثة بارتفاع ضغط الدم
منوعات - الكوثر: يمكن أن يؤدي إهمال صحة الفم إلى أكثر من مجرد التسبب في رائحة الفم الكريهة ونزيف اللثة.
الأحد 13 مارس 2022 - 10:33 بتوقيت مكة
كيف تكون اللثة متغيرة اللون دليلا على حالة صحية أكثر خطورة؟
منوعات - الكوثر: توجد أسباب عديدة يمكن أن تؤدي إلى تغير لون اللثة، مثل التغيرات الهرمونية أو الالتهابات. وفي غالب الأحيان قد لا يكون هناك داع للقلق.
السبت 1 يناير 2022 - 08:32 بتوقيت مكة
10 مؤشرات صامتة لأمراض اللثة.. فلا تتجاهلها!
منوعات_الكوثر:“الابتسامة الجميلة هي أفضل ما يمكن للشخص التحلي به”، حكمة شهيرة يعرفها معظمنا، وهذا صحيح لأن الابتسامة الصافية تنشر الحب والدفء، تصفي النفوس كما أنها تنشر الطاقة الإيجابية.
الأحد 1 إبريل 2018 - 22:16 بتوقيت مكة
مرحلة التسنين عند الأطفال ... أعراضها و كيفية التعامل معها
التسنين وهي العملية التي تظهر فيها الأسنان اللبنية للطفل الرضيع متسلسلة وعادة ما تظهر بشكل زوجي، تبدأ هذه العملية بحد أدنى بعمر3 شهور وبحد أقصى بعمر 12 شهرا.تختلف درجة الألم عند كل طفل، بعضهم قد يكون أكثر تألما من غيره خلال التسنين وبعضهم قد لا يواجه صعوبة في التسنين.
الأربعاء 7 فبراير 2018 - 14:27 بتوقيت مكة
تخلصوا من تورم اللثة.. بهذه الحيل!
منوعات - الكوثر
الخميس 17 أغسطس 2017 - 12:40 بتوقيت مكة
>>
>
1
<
<<
12/10/2025 1:12:21 PM