شاركوا هذا الخبر

تخلصوا من تورم اللثة.. بهذه الحيل!

منوعات - الكوثر

تخلصوا من تورم اللثة.. بهذه الحيل!

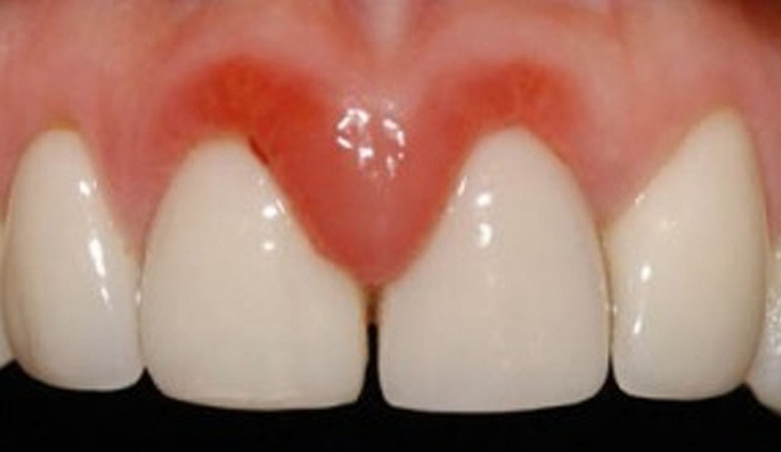
مشاكل اللثة كثيرة ومعالجتها ليست أمراً سهلاً، لذلك فإنّ العديد من الأشخاص الذين يعانون من هذه المشاكل يبحثون عن أساليب مختلفة للتخلّص منها. فما هي أفضل الطرق لعلاج تورم اللثة؟!

- يمكن اللجوء مثلاً إلى غسول الماء والملح. فللملح القدرة على القضاء على الميكروبات والفيروسات التي تسبب الإلتهابات، وبالتالي فهو يساعد اللثة في محاربة البكتيريا، ويحميها من انعكاساتها السلبية. لذا يمكنكم الغرغرة بالماء والملح مرتين في اليوم لمدّة أسبوع إلى أن تتخلصوا من التورّم.

- زيت الخروع هو أيضاً من الطرق المساعدة في معالجة تورم اللثة، وهو مناسب لاستعماله في هذه الحالة، حيث يكفي أن تضعوا القليل منه على مكان الورم في الفم حتى يتم امتصاصه. يخفف هذا الزيت من الألم والتورم، وسيتم التخلص نهائيًا من الأوجاع بعد مرور حوالي أسبوعين من إستعماله على مكان الورم.

- إنّ إستخدام ماء الليمون لمعالجة مشكلة التورم في اللثة من الأمور المساعدة في الحفاظ على سلامة الفم. وفي هذا الإطار، فإن الليمون غني بمضادات الأكسدة وهو مفيد على صعيد مكافحة الجراثيم والبكتيريا. كل ما عليكم فعله هو غسل الفم بماء الليمون يومياً في الصباح الباكر، وستلاحظون الفرق بعد أسبوع من استعمال هذا العلاج.

- بعض الأدوية الطبية أيضاً تعدّ من الطرق المفيدة للتخلص من تورم اللثة. وفي هذا الإطار، لا بد من الإشارة إلى أهمية استعمال بيروكسيد الهيدروجين الذي يعتبر من المواد الطبية المفيدة لعلاج هذه المشكلة.

بالتالي ما يجب فعله هو إحضار هذا الدواء من أي صيدلية أو مركز طبي وصحي، فهو غني بالمواد المساعدة على معالجة تورم اللثة. طريقة استعماله سهلة أيضاً، إذ يكفي أن وضع القليل منه في كوب من الماء، واستعمال هذا المشروب للغرغرة على غرار الماء والملح. طبقوا هذه الطريقة مرتين في الأسبوع للحصول على النتيجة المرجوة.

وكالات
 

أهم الأخبار

الأكثر مشاهدة