شاركوا هذا الخبر

كيف تتخلص من البقع البنية على الأسنان ؟

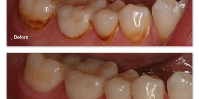
منوعات_الكوثر: يقول الأطباء إن البقع البنية على الأسنان “أمر طبيعي”، على اعتبار أنها تؤثر على معظم الناس في مرحلة ما من حياتهم.

كيف تتخلص من البقع البنية على الأسنان ؟

وقال موقع “إكسبريس” البريطاني إن البقع البنية تظهر على الجزء الخارجي من السن، وبالتحديد على المينا (الطبقة الخارجية الصلبة للأسنان).

وأضاف: “قد تساعد بعض الطرق المنزلية في حل المشكلة، إلا أنك قد تضطر أيضا إلى زيارة طبيب الأسنان”.

وأوضح المصدر أن علاجات التبييض المنزلية تعمل على مقاومة هذه البقع البنية، مثل معاجين الأسنان التبييضية وأدوات التبييض وشرائط التبييض.

وتابع: “هذه الطرق لها مستويات مختلفة من النجاح.. وفي حال لم تنجح، من الأفضل التحدث إلى أهل الاختصاص”.

وذكرت خبيرة الصحة في لندن، آنا ميدلتون، أنه لا يجب الإفراط في استخدام هذه الوسائل “على اعتبار أنها يمكن أن تدمر مينا الأسنان”.

ونصحت ميدلتون بزيارة طبيب الأسنان مرة واحدة على الأقل في السنة للحفاظ على ابتسامتك قدر الإمكان.

أهم الأخبار

الأكثر مشاهدة