البث المباشر
الرئيسية
الأخبار
البرامج
فلسطين
الكوثر +
فارسی
البث المباشر
بحث
فارسی
المينا
أفضل وأسوأ الأطعمة للأسنان
منوعات - الكوثر: إذا كنت تريد ابتسامة صحية، فستعرف بالفعل أهمية تنظيف الأسنان بالفرشاة، ولكن هل فكرت في أهمية نظامك الغذائي لصحة أسنانك؟
الإثنين 27 يونيو 2022 - 17:00 بتوقيت مكة
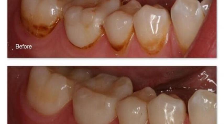
كيف تتخلص من البقع البنية على الأسنان ؟
منوعات_الكوثر: يقول الأطباء إن البقع البنية على الأسنان “أمر طبيعي”، على اعتبار أنها تؤثر على معظم الناس في مرحلة ما من حياتهم.
الأحد 14 مارس 2021 - 20:04 بتوقيت مكة
>>
>
1
<
<<
12/16/2025 3:12:53 AM