شاركوا هذا الخبر

بالصور: أطباء يكشفون حقيقة صادمة بعد فحص رئة أحد المرضى

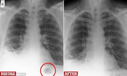
منوعات / الكوثر: شخص الأطباء حالة رجل بريطاني بأنه مصاب بمرض سرطان بعد أن وجدوا كتلة في رئتيه، ولكن ما تم اكتشافه لاحقاً كان غريباً وصادماً.

بالصور: أطباء يكشفون حقيقة صادمة بعد فحص رئة أحد المرضى

واشتكى المريض، البالغ من العمر 47 عامًا، والذي لم يذكر اسمه، من سعال مخاطي باللون الأصفر والشعور بعدم الارتياح لمدة تزيد قليلا عن عام وطلب المساعدة من الأطباء.

وأظهرت الفحوص كتلة في رئتيه والتي افترضها الخبراء الاستشاريون أنها علامة على السرطان بسبب تدخينه لمدة 3 عقود وأحالوه على وجه السرعة إلى المستشفى وفقًا لصحيفة “ديلي ميل” البريطانية.

وخلال إجراء فحص لمجرى الهواء اكتشف الأطباء أن الكتلة هي مخروط من مجموعة “بلايموبيل” وهي لعبة التي ابتلعها الرجل منذ 40 عامًا.

ووصف الأطباء الذين يكتبون التقارير الحالة بأنها لغز طبي بسبب طول الفترة التي مرت دون أن تظهر عليه أي أعراض.

وكتب الأطباء: “على حد علمنا هذه هي الحالة الأولى المبلغ عنها لوجود جسم غريب في القصبة الهوائية التي تم تجاهلها لمدة 40 عاما”.

وتم تنفيذ تنظير القصبات في مستشفى “رويال بريستون” بعد إحالة المريض بسبب المخاوف بوجود علامة على الإصابة بالسرطان، بعد فترة وجيزة من إجراء هذا التنظير، كشف المريض أنه كان يلعب بانتظام وبلع قطعة من “بلايموبيل”.

وذكرت تقرير مجلة BMJ Case أن ابتلاع الأجسام الغريبة يتم الإبلاغ عنه في الغالب في الأطفال الذين تقل أعمارهم عن 3 سنوات من العمر وأن العملات والعظام هي الأشياء الأكثر شيوعا والتي يتم تناولها.

وعادة ما يتم تمرير هذه الأشياء بشكل طبيعي، ولكن هناك مخاطر عالية، يمكن للأشياء الحادة أن تخترق أجزاء من الجسم مثل الأمعاء.

المصدر: أرم نيوز

مزيد من الصور

أهم الأخبار

الأكثر مشاهدة