شاركوا هذا الخبر

وداعا للمفاتيح التقليدية!

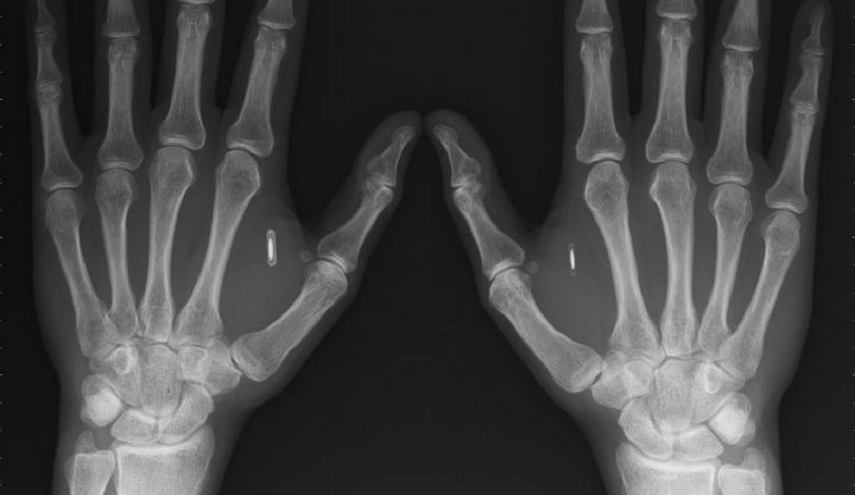
أكدت شركة Newfusion البلجيكية المتخصصة في مجال التسويق الرقمي أنها طورت مفاتيح إلكترونية صغيرة الحجم، تزرع تحت الجلد، تغني المستخدم عن المفاتيح التقليدية.

وداعا للمفاتيح التقليدية!

ووفقا للمتحدث باسم الشركة فإن "الاختراع الجديد عبارة عن (كبسولات إلكترونية) بحجم حبة الأرز، يمكن زراعتها تحت جلد الموظفين في الشركات، ليستخدموها كبديل لمفاتيح الأبواب المزودة بأقفال إلكترونية، كما تحتوي تلك الكبسولات على كافة البيانات المتعلقة بالموظف، لذلك يمكنه استخدامها حتى لتشغيل الكمبيوتر الخاص به".

وأضاف المتحدث: "تبلغ كلفة (الكبسولة) الواحدة قرابة الـ 100 يورو، نحن غير متأكدين فيما إذا كانت الشركات ستعتمد مثل تلك التقنية، وفي حال اعتمادها ستكون تلك الخطوة الأولى من نوعها في بلجيكا".

المصدر: نوفوستي

مزيد من الصور

أهم الأخبار

الأكثر مشاهدة