شاركوا هذا الخبر

ببساطة وفي دقيقتين تخلصوا من جير الاسنان

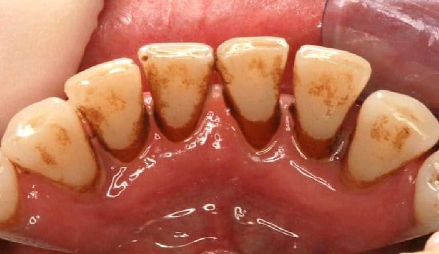
منوعات _ الكوثر: تعتبر نظافة الفم كارثية للصحة بشكل عام لأن الفم قد يكون مصدراً للالتهابات المعدية إذا تُرك من غير علاج. هناك أكثر من 500 نوع من البكتيريا في الفم وهي التي تشكل الجير على الاسنان الأمر الذي يؤدي إلى الالتهابات مثل التهاب اللثة والتهاب جذور الأسنان وغير ذلك.

ببساطة وفي دقيقتين تخلصوا من جير الاسنان

عدا تنظيف الأسنان بالفرشاة والخيط، يُعتبر غسول الفم جزءاً آخر هاماً لنظافة الاسنان. فهو يساعد على إزالة الجير ومحاربة البكتيريا التي لا يمكن إزالتها بتنظيف الأسنان بالفرشاة. في الوقت ذاته، يترك غسول الفم الأسنان نظيفة والفم منتعشاً.

هناك فوائد عدة لاستخدام غسول فم تعدونه في البيت، منها:

غسول الفم المنزلي الرخيص الثمن ( يمكن إعداده في منزلك مستخدماً مكونات غير باهظة الثمن أما نتيجته فستذهلك ).

• يمكنك التحكم بالمكونات.

• خال من المواد الكيميائية ( مشكلة غسول الفم التجاري أنه مليء بالملونات والمنكهات الكيميائية والمحليات الصناعية).

الوصفة التي سنقدمها الآن رخيصة الثمن ولكنها فعالة جداً في إزالة الجير ومساعدتك على استرداد أسنان صحية لؤلؤية. في هذه الوصفة سنستخدم البيكنغ صودا كمكون أساسي يعتبر من أهم المنظفات القوية التي تستعمل بطرق مختلفة ولأهداف عديدة منها الحفاظ على نظافة الأسنان.

بحتوي البيكنغ صودا (بيكربونات الصوديوم) على خصائص قوية لتببيض الأسنان وإزالة التبقعات كما أنه يحتوي على خصائص مضادة للبكتيريا تحارب الميكروبات والترسبات التي قد تكون السبب الخفي وراء التسوس ورائحة الفم الكريهة.

وصفة غسول الفم المعدّة منزلياً:

المكونات

ملعقة كبيرة من البيكنغ صودا (بيكربونات الصودا)

ملعقة صغيرة من الملح

نصف كوب من الهيدروجين بيروكسايد (ماء الأوكسجين)

نصف كوب من الماء الساخن

كوب من الماء البارد

عيدان للأسنان

فرشاة أسنان

التعليمات

الخطوة 1

اخلط البيكنغ صودا مع الملح

انقع فرشاة الأسنان في الماء الساخن ومن ثم ضع الخليط فوقها

افرك الأسنان جيداً. ابصق ومن ثم كرر العملية.

الخطوة 2

اخلط الهيدروجين بيروكسايد مع الماء الدافئ لصنع غسول للفم.

اترك المحلول في الفم مدة دقيقة ومن ثمّ ابصق.

الخطوة 3

استعمل عود أسنان للتخلص من الترسبات بين الأسنان.

اغسل بالماء البارد.

أهم الأخبار

الأكثر مشاهدة