شاركوا هذا الخبر

شاهد: هذا ما اخرجه اطباء عراقيون من جسم شاب دون تدخل جراحي!

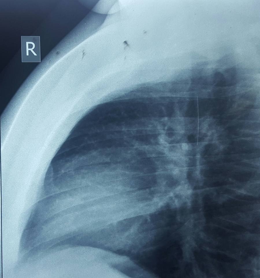
تمكن فريق من كلية الطب في جامعة الانبار، من استخراج قطعة "دبوس" من جسم شاب بعملية ناظورية أجريت دون تدخل جراحي.

شاهد: هذا ما اخرجه  اطباء عراقيون من جسم شاب دون تدخل جراحي!

وقال رئيس الفريق الاستشاري في جراحة الصدر والقلب والأوعية الدموية بكلية طب الأنبار، الطبيب محمد طفش، اليوم الجمعة (12 مايو/ايار 2017)، إن "عملية ناظورية اجريت لشاب يبلغ من العمر 16 عاما في مستشفى الفلوجة التعليمي وبمشاركة كادر طبي متخصص، تم خلالها استخراج دبوس من القصبة الهوائية للشاب الفلوجي من خلال عملية استئصال ناظورية دون تدخل جراحي وتكللت العملية بالنجاح التام".

وذكر طفش انه "بعد التشخيص الدقيق لحالة المريض وتحديد مكان استقرار الدبوس من قبل الفريق الطبي وبإشراف طبيب التخدير نزار حامد العبيدي، تم اجراء العملية بنجاح وقد استغرقت ساعة واحدة فقط بعملية ناظورية دون تدخل جراحي"، مضيفا "ان المريض يتماثل للشفاء بعد خروجه من صالة العمليات".

المصدر: NRT عربية

مزيد من الصور

أهم الأخبار

الأكثر مشاهدة