شاركوا هذا الخبر

علامات السرطان التي تنسب لأعراض "كوفيد-19"

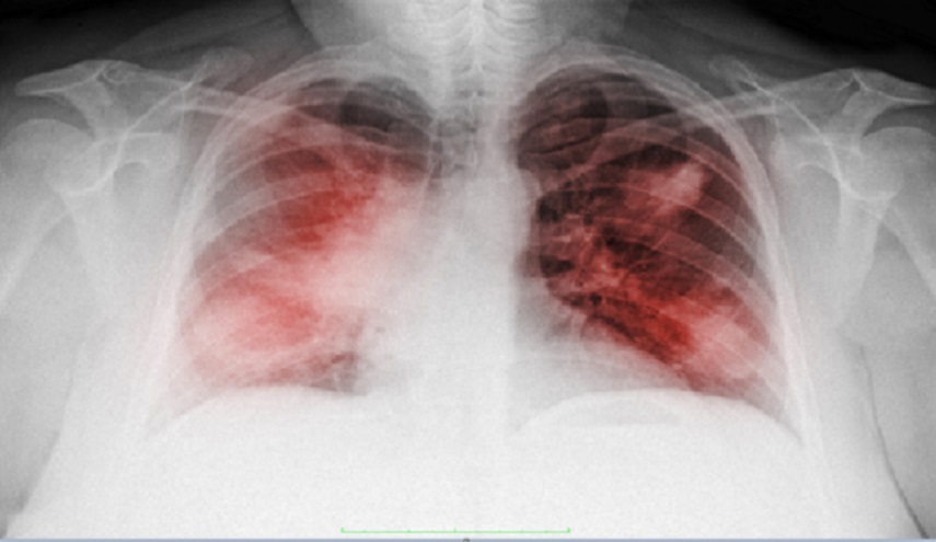
الصحة_الكوثر: أعلن إيفان كاراسيف، أخصائي طب وجراحة الأورام، أن أعراض الالتهاب الرئوي عند الإصابة بـ "كوفيد-19" وسرطان الرئة تتطابق جزئيا، لذلك من السهل الخلط بينها.

علامات السرطان التي تنسب لأعراض "كوفيد-19"

وقال الأخصائي في حديث لصحيفة "روسيسكايا غازيتا"، لا تظهر أعراض "كوفيد-19" لدى مرضى السرطان بصورة واضحة، لأن المصاب بسرطان الرئة ، يعاني أيضا من السعال والبلغم وصعوبة التنفس.

وأضاف، مرضى السرطان أكثر عرضة من الآخرين لخطر الإصابة بالشكل الحاد من "كوفيد-19"، وخاصة الذين شخصت إصابتهم بالسرطان لأول مرة وكذلك الذين تم علاجهم من سرطان الرئة.

وقال، تشمل المضاعفات الصعبة، التهابا رئويا ثنائي الجانب (يلاحظ في 75% من الحالات)، ومتلازمة الضائقة التنفسية الحادة (17%) و متلازمة خلل وظيفة الأعضاء المتعدد (11%).

وأشار الطبيب، إلى أنه خلال فترة جائحة "كوفيد-19"، يجب على مرضى سرطان الرئة الذين يخضعون للعلاج المستهدف، أو العلاج الشعاعي، التوقف عن العلاج، وأضاف موضحا، يعتبر الهدف الأساسي في هذه المرحلة تخفيض خطر إصابة مرضى السرطان والعاملين بـ "كوفيد-19"، وهذا يمكن تحقيقه عن طريق تقليل اختلاط المريض بأقاربه والعاملين في مجال الطب.

أهم الأخبار

الأكثر مشاهدة