البث المباشر
الرئيسية
الأخبار
البرامج
فلسطين
الكوثر +
فارسی
البث المباشر
بحث
فارسی
الصحة والحياة
أمراض خطيرة نكتشفها من تغير شكل الأظافر
منوعات - الكوثر: تؤثر الهرمونات وكذلك الإجهاد ونمط الحياة على صحة الأظافر. فالأظافر السليمة يبلغ سمكها نصف ميليمتر تقريبا وتكون خفيفة ومقوسة وسطحها أملس. موقع “هافينغتون بوست” الإلكتروني ذكر سبعة تغييرات تطرأ على أظافرك تساعدك في التعرف على المرض الذي تعاني منه:
الإثنين 14 مارس 2022 - 10:33 بتوقيت مكة
الصين.. تسجيل نحو 3400 إصابة بكورونا
الصين_ الكوثر: سجلت الصين 3393 إصابة جديدة بفيروس كورونا اليوم الأحد، حسب لجنة الصحة الوطنية، أي ضعف عدد الحالات التي أحصتها في اليوم السابق، وذلك في وقت تواجه البلاد أخطر تفش للفيروس منذ عامين.
الأحد 13 مارس 2022 - 19:38 بتوقيت مكة
أفضل طريقة للتخلص من الإجهاد
الصحة_الكوثر: كشفت الطبيبة الروسية ناديجدا كابينسكاياـ أخصائية الأمراض الباطنية، أفضل طريقة لتخفيف أعراض الإجهاد والتخلص منه
الأحد 13 مارس 2022 - 15:35 بتوقيت مكة
الصحة العراقية تحذر... تراخي كبير بالإجراءات الوقائية ولا نستبعد التعرض لموجات جديدة
العراق - الكوثر: أنتقدت وزارة الصحة العراقية ما وصفته بـ"التراخي الكبير" في الإجراءات الوقائية ضد فيروس كورونا ومتحوراته في البلاد.
الأحد 13 مارس 2022 - 14:04 بتوقيت مكة
ايران ... اخر احصائيات كورونا خلال الـ 24 ساعة الماضية
ايران - الكوثر: أعلنت وزارة الصحة والعلاج والتعليم الطبي الإيرانية، عن تسجيل 118 حالة وفاة جديدة بكورونا خلال الـ24 ساعة الماضية.
الأحد 13 مارس 2022 - 13:34 بتوقيت مكة
هذا ما نحتاجه من القهوة يوميا
منوعات - الكوثر: في حين ربطت القهوة بعدد من الفوائد فإن الإفراط في شربها قد يمثل مخاطر صحية، لذا تثار تساؤلات عدة بشأن كم فنجانا يجب أن تشرب في اليوم؟
الأحد 13 مارس 2022 - 10:44 بتوقيت مكة
الكشف عن ارتباط أمراض اللثة بارتفاع ضغط الدم
منوعات - الكوثر: يمكن أن يؤدي إهمال صحة الفم إلى أكثر من مجرد التسبب في رائحة الفم الكريهة ونزيف اللثة.
الأحد 13 مارس 2022 - 10:33 بتوقيت مكة
علامات تحذيرية لنقص فيتامين A
الصحة_الكوثر: يعزز فيتامين A جهاز المناعة للدفاع ضد الأمراض والعدوى، ويحسن الرؤية في الإضاءة الخافتة، ويحافظ على صحة الجلد.
الأحد 13 مارس 2022 - 09:52 بتوقيت مكة
الصحة الإيرانية تسجل 120 وفاة جديدة بكورونا
ايران_ الكوثر: أعلنت وزارة الصحة والعلاج والتعليم الطبي الإيرانية، عن تسجيل 120 حالة وفاة جديدة بكورونا خلال الـ24 ساعة الماضية.
السبت 12 مارس 2022 - 16:44 بتوقيت مكة
أطعمة تسمم جسمنا بالرغم من انتشارها وشعبيتها
منوعات - الكوثر: ذكرت مجلة فوكوس الألمانية في موقعها على الانترنت أن ثلث حالات الإصابة بمرض السرطان تعود إلى النظام الغذائي غير السليم، وأن المواد الغنية بالكربوهيدرات والأطعمة المقلية تمثل بشكل خاص مخاطر على الصحة ومن الأفضل إلقاء الغذاء المتعفن كله في سلة النفايات.
السبت 12 مارس 2022 - 13:36 بتوقيت مكة
فاكهة تبدد الرغبة في تناول السكر
منوعات - الكوثر: تزداد الرغبة أحيانا في تناول السكر، وقد يواجه البعض عدم المقدرة على ضبط نفسه لتناول السكريات، دراسة جديدة كشفت عن أسباب هذه الرغبة والبدائل التي تساعد على الحد منها.
السبت 12 مارس 2022 - 09:12 بتوقيت مكة
الصحة تعلن الموقف الوبائي لجائحة كورونا في العراق
العراق_الكوثر:أعلنت وزارة الصحة، اليوم الجمعة، الموقف الوبائي اليومي لجائحة كورونا في عموم العراق.
الجمعة 11 مارس 2022 - 18:45 بتوقيت مكة
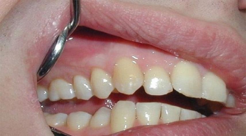
مع هذه التقنية... وداعًا لمضاعفات تسوس الأسنان!
الصحة_الكوثر: تسوس الأسنان أكثر المشكلات الصحية انتشارًا خصوصًا في صفوف الأطفال والمراهقين إذ تسبب الثقوب التي قد تتسع وسبب آلامًا شديدة، والتهابات، وحتى فقدان أسنان ومضاعفات أخرى. وهناك أسنان أكثر عرضة للتسوس من غيرها.
الجمعة 11 مارس 2022 - 18:42 بتوقيت مكة
دراسة خطيرة تكشف تأثير كورونا على المخ والذاكرة
الصحة_ الكوثر: خلصت دراسة أجرتها جامعة أكسفورد إلى أن فيروس كورونا يمكن أن يسبب انكماش المخ وتقليل المادة الرمادية في المناطق التي تتحكم في العاطفة والذاكرة وإتلاف أجزاء تتحكم في حاسة الشم.
الخميس 10 مارس 2022 - 18:49 بتوقيت مكة
اكتشاف علاقة بين القهوة وصحة الكلى
الصحة_الكوثر: اكتشف علماء مجموعة CIBEROBN برئاسة هوردي سالاس واندرسون دياس من جامعة روفيرا فيرجيلي الإسبانية، علاقة بين شرب القهوة والشاي وسرعة الترشح الكبيبي المؤشر الرئيسي لصحة الكلى.
الخميس 10 مارس 2022 - 17:10 بتوقيت مكة
ما هو الطعام الذي قد يسبب الاصابة بسرطان المعدة؟
الصحة_الكوثر: كشف تقرير صادر عن الصندوق العالمي لأبحاث السرطان (WCRF) عن "دليل قوي" على أن نوعا معينا من الأطعمة هو "سبب" للإصابة بسرطان المعدة.
الخميس 10 مارس 2022 - 14:06 بتوقيت مكة
هذا النوع من الفيتامين يزيد خطر الإصابة بالسرطان
الصحة_ الكوثر: رغم التقدم العلمي الهائل الذي تم إحرازه في السنوات الأخيرة، فإن التوصل لعلاج ناجح لمرض السرطان بمختلف أشكاله لا يزال بعيدا
الأربعاء 9 مارس 2022 - 17:59 بتوقيت مكة
إنخفاض وفيات وإصابات كورونا في العراق
العراق _ الكوثر: أعلنت وزارة الصحة، اليوم الأربعاء، الموقف الوبائي اليومي لجائحة كورونا في عموم العراق.
الأربعاء 9 مارس 2022 - 17:43 بتوقيت مكة
>>
>
...
51
52
53
54
55
...
<
<<
12/20/2025 10:27:39 AM