البث المباشر
الرئيسية
الأخبار
البرامج
فلسطين
الكوثر +
فارسی
البث المباشر
بحث
فارسی
التشابه
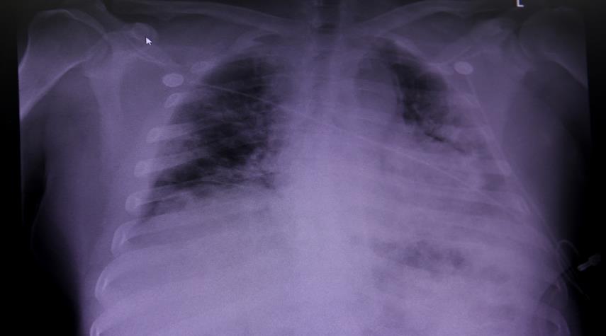
كورونا وسرطان الرئة.. التشابه والاختلاف
منوعات_الكوثر: كشف رئيس الجمعية البريطانية لمكافحة أمراض السرطان، روبرت رينتولا، عن التشابه والاختلاف بين أعراض الإصابة بفيروس كورونا وسرطان الرئة.
السبت 28 نوفمبر 2020 - 12:59 بتوقيت مكة
هذا هو عصر نهج البلاغة؟!
فلماذا كل هذا الحديث عن الزُّهد في خطبه عليه السلام؟ وأين أصبح ذلك الزَّمان الذي كان رسول الله صلى الله عليه وآله وسلم يقول فيه: "الفقر فخري"، وكان ...
الإثنين 23 يوليو 2018 - 12:27 بتوقيت مكة
>>
>
1
<
<<
10/22/2025 7:33:29 AM