البث المباشر
الرئيسية
الأخبار
البرامج
فلسطين
الكوثر +
فارسی
البث المباشر
بحث
فارسی
الذاكرة
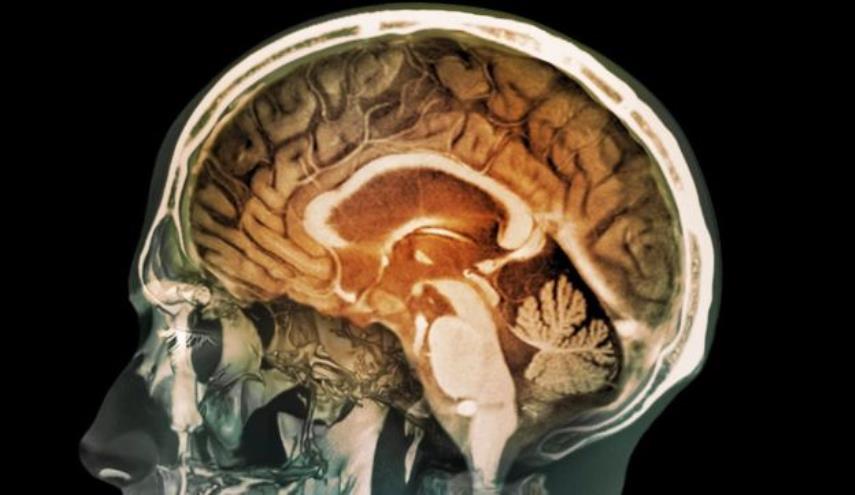
الدماغ يحتفظ بنسختين من الذاكرة في آن واحد
كشفت دراسة حديثة، أن المخ يولّد نسختين من الذكريات في آن واحد، إحداهما للوقت الراهن والأخرى لباقي الحياة، في نتائج تتعارض مع الفرضية الشائعة التي عُرفت منذ عقود.
الخميس 13 إبريل 2017 - 20:53 بتوقيت مكة
مأكولات تغني عن الدواء.. تعرف عليها
ليس من السرّ أبدًا أنّ نمط الحياة المتوازن والجسم الصحي هما في الغذاء السليم. لكن ماذا لو قلنا لك أن بإمكانك التصويب نحو أي مشكلة في جسمك وإيجاد الحلّ لها عبر غذائك؟ تعرّف معنا على أهم الفوائد الغذائية والعلاجية لبعض الأطعمة.
الثلاثاء 11 إبريل 2017 - 13:53 بتوقيت مكة
كشف جديد يقلب الموازين عن كيفية تكون الذاكرة
اكتشف فريق من العلماء ما يحدث بالفعل في المخ أثناء عمليات توليد الذكريات وتخزينها.
الأحد 9 إبريل 2017 - 19:48 بتوقيت مكة
>>
>
1
2
<
<<
12/14/2025 7:08:28 AM